Menu
Início
Resumo do Curriculum - Dr. Henrique Braitt
Perfil
Contato
Prof Dr. Henrique Braitt - Endodontia
https://blogger.googleusercontent.com/img/b/R29vZ2xl/AVvXsEh0IeSv21AC1B5Mc2ORlmHjQZVqSNOkEabeyp4B7lC-1yBuPFXbJGRlt4weQnmDb938g0xAojhF6gHlsEe3wMEOlH_kg-Jzj3rC4gpMJXIOTbfuWnfDeZJAZcuhweJf5rJUvpZ3b3RIp38/s400/Slide1.JPG
29 de mar. de 2014
Curso de Especialização em Endodontia da FUNORTE/Ilhéus. Módulo de Março de 2014. Turmas 3, 4 e 5.
28 de mar. de 2014
Curso de Especialização em Endodontia da FUNORTE/Ilhéus. 5a. Turma esgotada. Temos ainda 6 vagas para a 6a. Turma. Início imediato.
24 de mar. de 2014
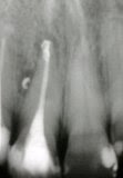
Remoção de broca Gattes-Glidden do interior do canal radicular pelo Dr. Genilson Ferreira dos Santos, ex aluno do Curso de Especialização em Endodontia da FUNORTE/Ilhéus.
23 de mar. de 2014
Estvemos no 8 Encontro de Endodontia de Campinas. Muito bom rever os Mestres, ex colegas de Mestrado, colegas de todo o Brasil, inclusive a Profa. Yanessa, do Curso de Especialização em Endodontia da FUNORTE/Ilhéus, Dra. Camila e Dra. Ana Grasiela, que foram nossas alunas e estão cursando o Mestrado na São Leopoldo Mandic.
Em São Paulo, Curso e lançamento do instrumento rotatório ProTaper Next, para os Professores Treinadores da Dentsply/Maillefer, com o Prof. Michael Scinamblo (USA)
16 de mar. de 2014
Estaremos lá!!!
Curso "Otimização da Endodontia Comtemporânea", em Vitória da Conquista
5 de mar. de 2014
Curso sobre o Sistema Reciproc no Equador -Prof. Carlos Garcia Puente (Argentina)
Imersão em Endodontia. Itapetininga (SP)
4 de mar. de 2014
Curso no Paraguay
2 de mar. de 2014
Estaremos no Curso para Professores Treinadores da Dentisply/Maillefer, com o Prof. Michael Scinamblo, no lançamento do Sistema Rotatório ProTaper Next, em S. Paulo. Seguiremos depois para o VIII Encontro de Endodontia da EEC, também com a participação do Professor Scinamblo.
Novo Sistema Reciprocante surge no Mercado Endodôntico
Casos clínicos da Dra. Ângela Porto, aluna do Curso de Especialização em Endodontia da FUNORTE/Ilhéus.
Postagens mais recentes
Postagens mais antigas
Página inicial
Assinar:
Comentários (Atom)
Total de visualizações de página
Agora são...
Deixe Seu Recado
Escovação Bucal
Troque regularmente sua escova
Quando visitou seu dentista?
Outros Blogs
Equipe Endodontia LM
Endodontia em molares
Há um ano
RUY HIZATUGU E EQUIPE - Odontologia Especializada
ESPECIALIZAÇÃO ENDODONTIA SESSÃO ÚNICA 2020
Há 5 anos
Luis Gonzalez Navarro
8va. Promoción de Especialistas en Endodoncia – FOUNA
Há 9 anos
EQUIPE DE ENDODONTIA DE CAMPINAS
Cursos da EEC - 2o Semestre de 2016
Há 9 anos
Ângelo Freire
Instrumentação rotatória
Há 11 anos
Arquivos do blog
▼
2014
(83)
►
dezembro 2014
(8)
►
novembro 2014
(1)
►
outubro 2014
(5)
►
setembro 2014
(2)
►
agosto 2014
(9)
►
julho 2014
(8)
►
junho 2014
(6)
►
maio 2014
(8)
►
abril 2014
(12)
▼
março 2014
(13)
Curso de Especialização em Endodontia da FUNORTE/I...
Curso de Especialização em Endodontia da FUNORTE/I...
Remoção de broca Gattes-Glidden do interior do can...
Estvemos no 8 Encontro de Endodontia de Campinas. ...
Em São Paulo, Curso e lançamento do instrumento ro...
Estaremos lá!!!
Curso "Otimização da Endodontia Comtemporânea", em...
Curso sobre o Sistema Reciproc no Equador -Prof. C...
Imersão em Endodontia. Itapetininga (SP)
Curso no Paraguay
Estaremos no Curso para Professores Treinadores da...
Novo Sistema Reciprocante surge no Mercado Endodôn...
Casos clínicos da Dra. Ângela Porto, aluna do Curs...
►
fevereiro 2014
(6)
►
janeiro 2014
(5)
►
2013
(139)
►
dezembro 2013
(5)
►
novembro 2013
(14)
►
outubro 2013
(14)
►
setembro 2013
(9)
►
agosto 2013
(13)
►
julho 2013
(12)
►
junho 2013
(4)
►
maio 2013
(14)
►
abril 2013
(13)
►
março 2013
(19)
►
fevereiro 2013
(11)
►
janeiro 2013
(11)
►
2012
(176)
►
dezembro 2012
(9)
►
novembro 2012
(12)
►
outubro 2012
(16)
►
setembro 2012
(10)
►
agosto 2012
(21)
►
julho 2012
(21)
►
junho 2012
(17)
►
abril 2012
(13)
►
março 2012
(21)
►
fevereiro 2012
(18)
►
janeiro 2012
(18)
►
2011
(199)
►
dezembro 2011
(32)
►
novembro 2011
(18)
►
outubro 2011
(19)
►
setembro 2011
(17)
►
agosto 2011
(18)
►
julho 2011
(8)
►
junho 2011
(10)
►
maio 2011
(32)
►
abril 2011
(8)
►
março 2011
(14)
►
fevereiro 2011
(5)
►
janeiro 2011
(18)
►
2010
(181)
►
dezembro 2010
(14)
►
novembro 2010
(20)
►
outubro 2010
(17)
►
setembro 2010
(21)
►
agosto 2010
(17)
►
julho 2010
(14)
►
junho 2010
(5)
►
maio 2010
(15)
►
abril 2010
(28)
►
março 2010
(30)
Seguidores